Schedule by calling: (843) 884-5161
Cavities, also referred to as "carries" are diagnosed during your dental examination by x-ray or through visual observation.
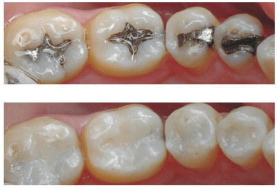
Dr. Culler will conservatively remove the decayed portion, leaving healthy tooth structure intact. Our filling material is a white composite material which matches the color of your natural teeth. Composites are "bonded" or adhered to your natural tooth enamel, replacing the area of decay.
This durable solution is resistant to fracture, enabling you to resume your normal daily activities with a healthy smile.
*Composite fillings are advantageous over silver (amalgam) fillings because they allows us to remove less tooth structure when the tooth is prepared, resulting in a smaller filling. The pictures to the right display amalgam fillings in the top frame and tooth-colored restoration below.*

We love our customers, so feel free to visit during normal business hours.
211 Simmons Street, Mount Pleasant, South Carolina 29464, United States
Open today | 08:00 am – 05:00 pm |
Monday 9:00 am - 5:00 pm
Tuesday 8:00 am - 5:00 pm
Wednesday 8:00 am - 2:00 pm
Thursday 8:00 am - 5:00 pm
Friday Arrangement only
Give us a call at (843) 884-5161.
Dr. Culler is here for you.